Implantologie
Implantate sind der eleganteste Ersatz für fehlende oder verloren gegangene Zähne. Sie verbessern das Kau- und Sprachgefühl, weil sie fest und sicher sitzen und kaum als Fremdkörper empfunden werden. Ob knackige Äpfel oder kräftiges Brot – Implantate ermöglichen ein herzhaftes Zubeißen und erhöhen so die Lebensqualität erheblich.
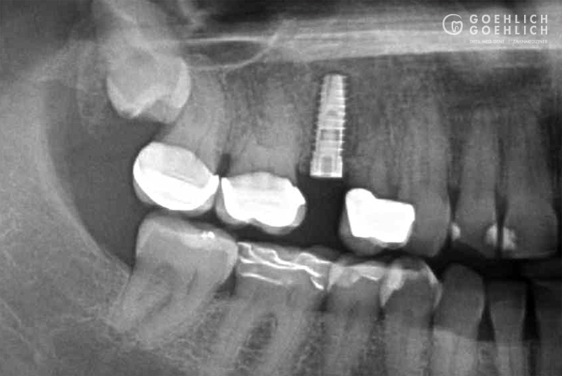
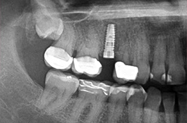
Als Implantat bezeichnet man in der Zahnmedizin eine künstliche Zahnwurzel, die nach Verlust eines eigenen Zahnes als Ersatz eingebracht wird. Das Implantat dient als Basis bzw. Verankerung einer festsitzenden Krone. Geht nur ein Zahn verloren, dient das Implantat zum Schluss der Lücke, ohne dass eine Brücke angefertigt werden muss und dafür die vielleicht intakten Nachbarzähne abgeschliffen werden. Damit schonen wir die umgebenden Zähne. Spätfolgen des Zahnverlustes, wie Kiefergelenkprobleme, Zahnwanderungen oder Karies können vermieden werden. Sind bereits mehrere Zähne verloren gegangen, die nur durch eine Teil- oder Vollprothese ersetzt werden können, ermöglichen wir durch das Einbringen mehrerer Implantate wieder einen festsitzenden Zahnersatz.
Mittels digitaler Volumentomographie (DVT) sind wir in der Lage, die knöcherne Ausgangslage vor Implantation dreidimensional darzustellen. So können die genauen Lagebeziehungen zu Nerven oder auch zur Kieferhöhle optimal bestimmt werden.
Implantate bestehen aus dem körperverträglichen und langlebigen Metall Titan. In einem minimalinvasiven operativen Eingriff setzen wir das Implantat in den Knochen ein. Die speziell bearbeitete Oberfläche garantiert ein zügiges Einheilen und das feste Verwachsen mit dem umgebenden Knochengewebe. Implantate können darüber hinaus den gefürchteten Knochenschwund in zahnlosen Kieferabschnitten verhindern oder verzögern. Den eigenen Zahnwurzeln ähnlich, übertragen Implantate die Kaukräfte auf den Kieferknochen. Dieser Trainingseffekt ist ein wichtiger Reiz für den Erhalt des Knochen- und Stützgewebes. Deshalb sollten Implantate möglichst bald nach dem Verlust oder Entfernen eines Zahns verankert werden.
Was kostet ein Implantat?
Die Kosten für eine Implantatversorgung hängen vom Einzelfall ab – von der Anzahl der Implantate, dem Implantat-Typ und vom Schwierigkeitsgrad des Eingriffs. Unsere Praxis erstellt für Sie gerne einen individuellen Kostenvoranschlag mit einer spezifischen, auf Sie zugeschnittenen Planung. Private Versicherungen übernehmen die Kosten, wenn der individuelle Tarif entsprechende Implantatbehandlungen im vorgesehenen Umfang einschließt. Gesetzliche Krankenkassen gewähren einen Zuschuss zu implantatgetragenem Zahnersatz.
Ist eine Implantation schmerzhaft?
Ein Implantat erfordert nur einen kleinen operativen Eingriff. Eine örtliche Betäubung sorgt für Schmerzfreiheit. Einfache Schmerzmittel (Analgetika) lindern Beschwerden nach der Operation (Wundschmerz).
Wie lange dauert die Behandlung?
Dies ist von Fall zu Fall unterschiedlich, abhängig vom Umfang der Therapie. Die Einheilphase der Implantate im Oberkiefer dauert in der Regel sechs, im Unterkiefer drei Monate. Demzufolge ist die Behandlung binnen vier bis acht Monaten abgeschlossen.
